Patient Information
Welcome to Align & Smile – Suvagia Orthodontics! We’re here to guide you through every step of your orthodontic journey, from your first visit to achieving your dream smile. Below, you’ll find important details on what to expect, how to care for your orthodontic appliances, and what to do in case of an emergency.
New Patient Information
Your first visit to Align & Smile is the first step toward a healthier, more confident smile! Here’s what you can expect:
Warm Welcome & Paperwork – When you arrive, our team will greet you and help you complete any necessary forms. To save time, you can fill out your New Patient Forms online before your visit.
Comprehensive Consultation – Dr. Suvagia will evaluate your smile, discuss your goals, and review any X-rays or scans needed to create your personalized treatment plan.
Customized Treatment Plan – We’ll go over your options, answer any questions, and ensure you feel confident about the next steps in your orthodontic journey.
Pro Tip: Before your appointment, brush and floss thoroughly, and bring any relevant dental records or insurance information.
Scheduling Appointments
We make scheduling easy and convenient!
How to Book: You can schedule an appointment by calling our office at (630) 634-0620 or using our Online Booking System (powered by GreyFinch).
Office Hours:
Monday – Friday: 9:00 AM – 5:00 PM
Select Saturdays: 9:00 AM – 1:00 PM
Rescheduling or Cancelling: Need to make a change? No problem! Please notify us at least 24-48 hours in advance so we can accommodate you.

What to Expect During Your Treatment
Your orthodontic journey is unique, but here’s a general overview of what to expect:
- 1
Initial Consultation & Digital X-rays – We’ll evaluate your teeth, bite, and jaw structure to design your treatment plan.
- 2
Braces or Aligners Placement – If braces are recommended, they’ll be placed in one appointment. For clear aligners, we’ll take digital scans and order your custom trays.
- 3
Adjustments & Progress Checks – Every 6-8 weeks, we’ll fine-tune your treatment and ensure everything is progressing smoothly.
- 4
Treatment Completion & Retainers – Once your treatment is complete, you’ll receive a custom retainer to maintain your results!
Timeline: Treatment length varies, but most patients wear braces or aligners for 12-24 months, depending on their case.
Treatment Care
Taking care of your orthodontic appliances is essential for achieving the best results.
Braces Care:
Brush after every meal and floss daily using a floss threader or water flosser.
- Avoid sticky, hard, or crunchy foods that can damage brackets and wires.
- Use orthodontic wax to ease irritation from brackets.
Aligner Care:
Wear your aligners for 22 hours per day and switch trays as directed.
- Clean aligners daily using a soft toothbrush and mild soap (avoid hot water!).
- Store aligners in their case when not in use to prevent damage.
Follow-Up Visits: Regular check-ins keep your treatment on track. Be sure to attend all scheduled appointments!

Financial Information
At Align & Smile, we believe that high-quality orthodontic care should be both accessible and stress-free. We offer flexible financial options to ensure your journey to a confident smile fits comfortably within your budget.
Insurance & Payment Options
Out-of-Network Insurance – We accept most out-of-network insurance plans and will assist in insurance verification and claim submissions to help maximize your benefits.
Health Savings Accounts (HSA) & Flexible Spending Accounts (FSA) – Use your pre-tax dollars to pay for orthodontic treatment, including braces and Invisalign.
Flexible Monthly Payment Plans – We offer customizable payment plans to fit your budget.
No Hidden Costs – We provide transparent pricing with no surprises.
Courtesy Discount – A special discount is available for payments made in full by cash or check.
Accepted Payment Methods – We accept major credit cards, cash, and checks.
0% Financing – We offer no interest when choosing flexible monthly payment plans.
Navigating Insurance & Payments
Our team is happy to guide you through your financial options and answer any questions. Contact us today to learn more about how we can make your orthodontic treatment affordable and stress-free!
Family Discounts
We’re proud to care for your whole family! To make it easier, we offer a $200 discount on treatment for each additional family member who joins our practice. Whether you’re bringing in a child, sibling, spouse, or parent, we’re here to help your entire family achieve beautiful, healthy smiles—together!
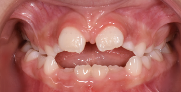
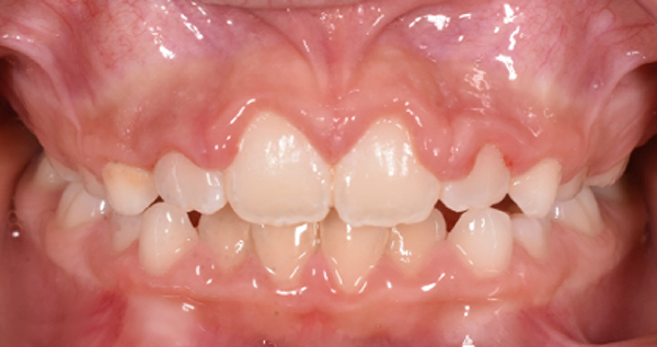
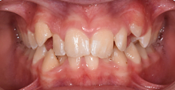
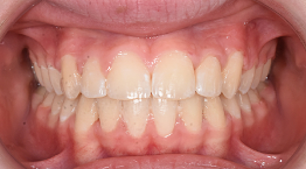
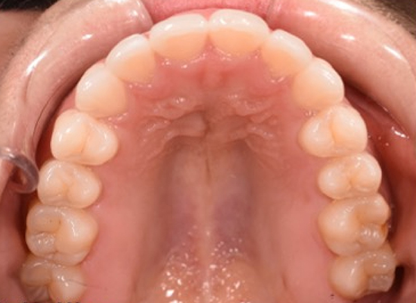
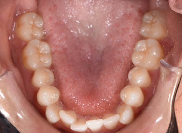
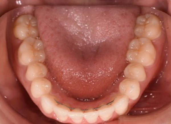
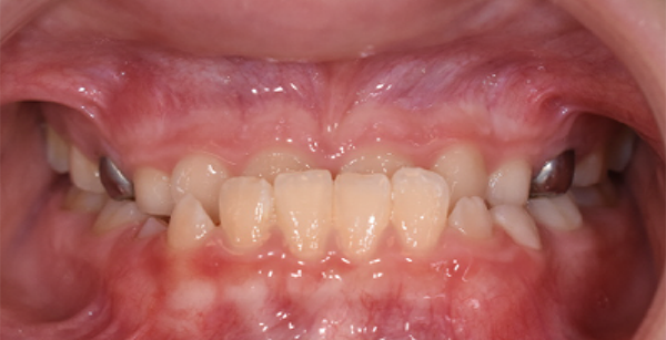
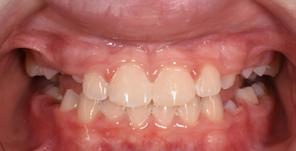
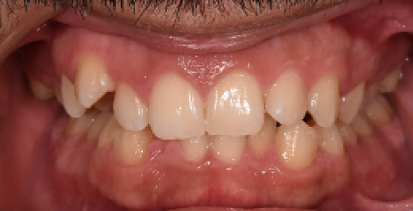
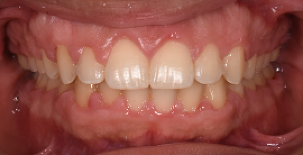
Before & After Photos
Check out some of our smile transformations! Seeing real patient results can help you visualize your own orthodontic journey.













Oral Health Tips
Good oral hygiene is crucial during orthodontic treatment. Follow these tips for a healthy smile:
Brushing & Flossing: Use a soft-bristled toothbrush and fluoride toothpaste. For braces, brush at a 45-degree angle and use interdental brushes for hard-to-reach areas.
Dietary Tips: Avoid sugary, sticky, and hard foods that can lead to cavities or appliance damage. Opt for soft, braces-friendly options like yogurt, smoothies, and pasta.
Fluoride & Mouthwash: Using fluoride toothpaste and an alcohol-free mouthwash can help strengthen enamel and prevent cavities.
Emergency Care
Orthodontic emergencies are rare, but if you experience discomfort or a broken appliance, here’s what to do:
Common Issues & Quick Fixes:
Poking Wire? Use orthodontic wax to cover the end of the wire until your next appointment.
Loose Bracket? If it’s still attached, leave it in place and avoid touching it. If it’s detached, save it and call us for repair.
Sore Teeth? Mild discomfort is normal after adjustments—use over-the-counter pain relief and a warm saltwater rinse.
Need Urgent Help? If you have a true emergency, call our office at (630) 634-0620. For after-hours emergencies, leave a message, and we’ll get back to you as soon as possible.
We’re here to make your orthodontic experience smooth, stress-free, and exciting! If you have any questions, don’t hesitate to Contact Us. We can’t wait to help you achieve your best smile!
Orthodontic Insights
Invisalign vs Traditional Braces: Pros, Cons, and Which Is Right for You
Choosing between Invisalign and traditional braces is one of the most common decisions patients face when starting their smile journey. […]
What to Expect at Your First Braces or Invisalign Consultation
Thinking about getting braces or Invisalign®? Your first consultation is a key step toward a confident, healthy smile. Whether you’re […]
Why Choose Suvagia Orthodontics as Your Orthodontist in Itasca, IL
Choosing the right orthodontist can make all the difference in your smile journey. At Suvagia Orthodontics, we combine personalized care, […]


